
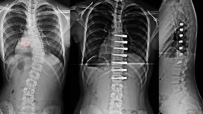
Skolyoz, yani Omurga Eğriliği bulunan hastaların ameliyatla tedavisinde sorunlardan biri, omurganın sabitlenmesi, böylece belirli bölgede omurga hareketliliğinin ortadan kalkmasıdır.
Prof. Dr. Azmi HAMZAOĞLU ve Ekibi’nin uyguladığı GERDİRME YÖNTEMİ (Tethering) sayesinde bu sorun ortadan kalkıyor. Hastanın omurga hareketi yok edilmiyor. Bu durum, özellikle çocuk hastalarda önemli bir avantaj sağlıyor. Çünkü çocuğun büyümesi engellenmemiş oluyor.
GERDİRME YÖNTEMİ ile tedavi edilen çocukların omurgasında, iç bükey yöndeki büyümeye devam ederken, dış bükey yöndeki büyüme vidalara bağlı ip sayesinde duruyor. Böylece zaman içinde eğrilik kendiliğinden düzeliyor. Ameliyat edilen bölge de hareketliliğini koruyor.
GERDİRME YÖNTEMİ sayesinde,
- Omurgada dondurma/sabitleme yapmaya gerek kalmadan eğrilik düzeliyor.
- Hareket kabiliyeti yok olmuyor.
- Çocuklarda büyüme engellenmemiş oluyor.
